
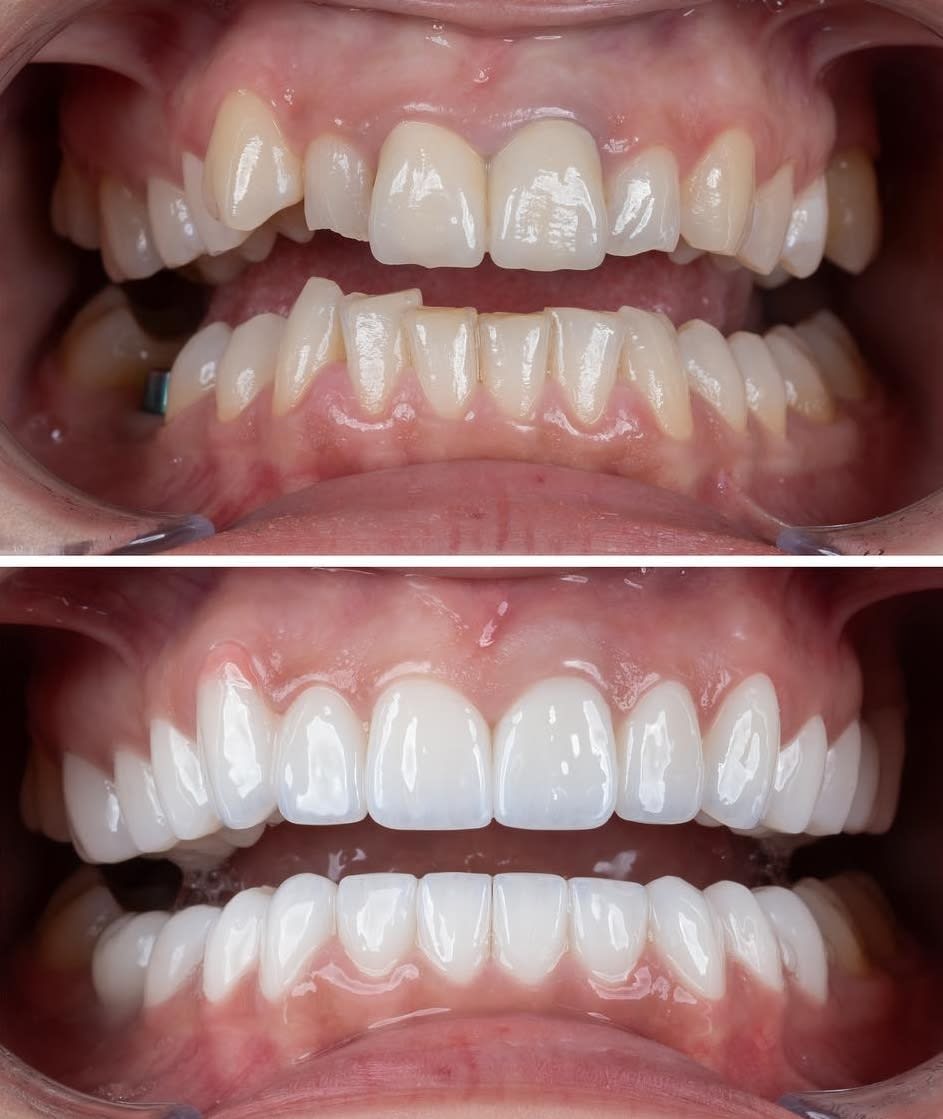
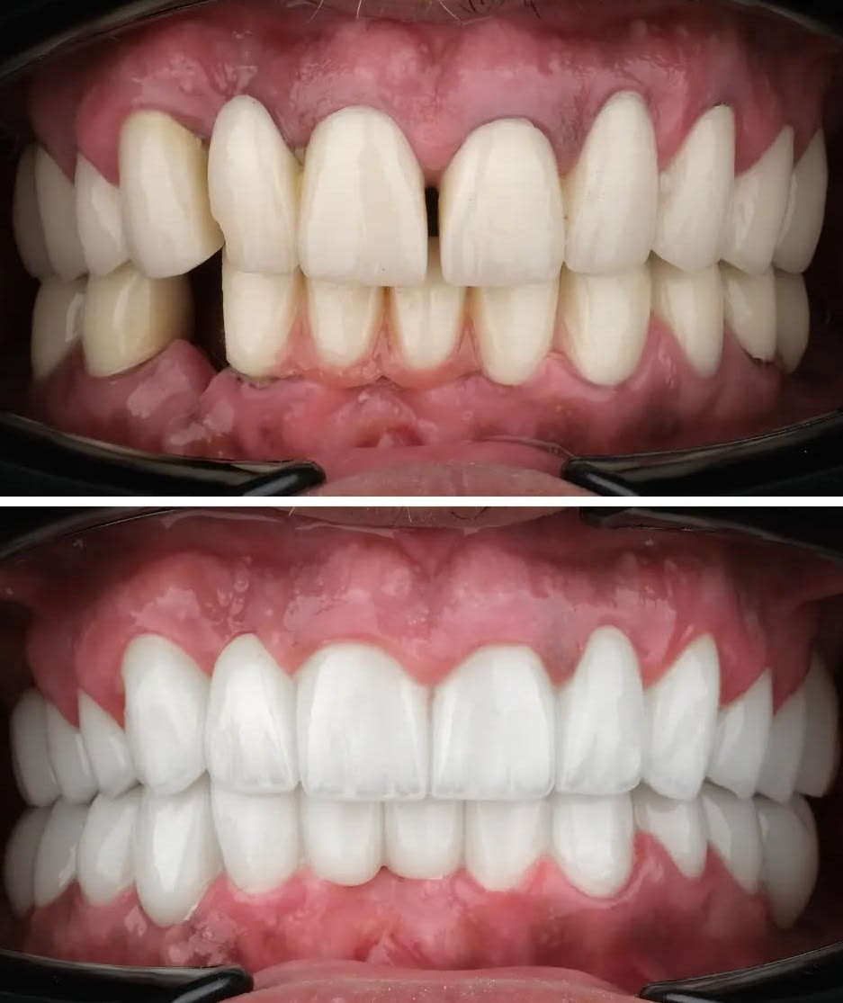
Andepol Antalya Dental Polyclinic, located in Şirinyalı, Antalya, is dedicated to providing top-tier dental and aesthetic services tailored to each patient's needs. With over 40 years of experience, the clinic is renowned for its advanced techniques in cosmetic dentistry, including the coveted Hollywood Smile, which combines high-tech dental practices with artistic precision to achieve stunning results. Patients can benefit from a range of services, such as dental implants, veneers, teeth whitening, and comprehensive smile makeovers, all delivered by a highly trained team committed to patient satisfaction. The clinic also excels in aesthetic treatments, offering options like lip fillers, laser hair removal, and skin tightening procedures. Each treatment is designed with the latest technology, ensuring minimal discomfort and optimal results. The experienced staff, led by Chief Physician Kıvanç Utku Ulusoy and Prosthodontist Yasemin Ulusoy, focuses on creating personalized treatment plans that enhance both dental and facial aesthetics. With a patient satisfaction rate of 98.6%, Andepol ensures that every visit is a positive experience, making it a preferred destination for both local and international patients seeking quality dental care.
We speak German, English.

DDS PhD. Specialist Prosthodontist / Chief Physician

DDS PhD. Specialist Prosthodontist

Aesthetic Dentist

Endodontics Specialist. Dentist





Antalya Dental Clinics, Şirinyalı, İsmet Gökşen Cd. No: 54/A, 07160 Muratpaşa/Antalya, Türkiye, Şirinyalı, İsmet Gökşen Cd. No: 54/A
Join 5,000+ subscribers. Get exclusive insights on new treatments, clinic offers, and aesthetic trends in Turkey.
We respect your privacy. Unsubscribe at any time.